Smile Gallery
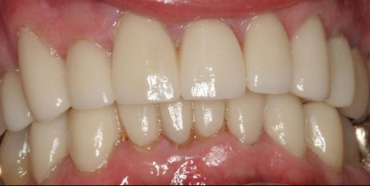
With today’s latest dental technology Dr. Carol Jin and her staff have the ability to transform your smile into the smile you deserve.
With today’s latest dental technology Dr. Carol Jin and her staff have the ability to transform your smile into the smile you deserve.