Why Some Teeth Stain Faster Than Others
Why do some teeth stain faster than others? This is a common concern among many adults, especially those who are mindful of their appearance and striving for a bright, dazzling smile. Various factors contribute to teeth discoloration, including your diet, lifestyle habits, and even genetics. Knowing why some teeth might be more prone to staining can help combat these effects.
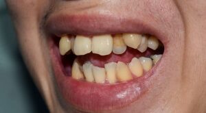
Tooth Stains: Types & Causes
Tooth staining occurs when particles from food, beverages, or other substances accumulate on the enamel, the outermost layer of your teeth. When enamel weakens due to decay or erosion, stains can penetrate more deeply and become harder to remove. This can lead to yellow, brown, or gray discoloration. There are three main stain types.
- Extrinsic Stains: Surface-level stains from food, drinks, and smoking. They affect the enamel and can often be reduced with regular dental cleaning.
- Intrinsic Stains: These stains occur within the tooth, below the enamel, often resulting from certain medications or excessive fluoride consumption during tooth development.
- Age-Related Stains: A combination of intrinsic and extrinsic factors, resulting from enamel thinning and dentin exposure as we age.
Some teeth stain faster because of differences in enamel thickness, daily habits, and how much exposure they get to staining agents. Even within the same mouth, teeth that have thinner enamel or older dental work may discolor more quickly.
How Your Diet Affects Tooth Staining
Your eating and drinking habits have a significant effect on the color of your teeth. Certain foods and drinks can stain your teeth, so it’s important to be aware of these if you’re concerned about a white smile.
- Coffee & Tea: Both contain tannins, which cause color compounds to stick to your teeth.
- Red Wine: Like coffee and tea, red wine also contains tannins that can lead to staining.
- Sugary Drinks: Sodas and energy drinks, due to their acid content, can erode enamel, making teeth more prone to stains.
- Foods That Stain Teeth: Beets, berries, and tomatoes can all leave stains.
Lifestyle Habits & Their Effect On Teeth
Everyday habits and lifestyle choices can also contribute to tooth discoloration. Smoking and tobacco use are some of the worst culprits, followed by poor oral hygiene and skipping regular dental visits. Certain medications, such as antihistamines and some antibiotics, can also lead to staining.
Even with healthy habits, natural differences in tooth structure can make some people more prone to discoloration than others.
Genetics Play A Role As Well
Genetics influence how easily your teeth stain. Some people may naturally have thinner or weaker enamel, or a different shade of dentin, which can affect how their teeth respond to staining agents. While you can’t change your genetic makeup, understanding its impact can guide your dental care choices.
Preventive Measures For A Whiter Smile
While knowing the causes of tooth staining is important, it’s equally crucial to learn about strategies to prevent yellow teeth. Brush twice a day, floss daily, and use an antibacterial mouthwash to reduce plaque buildup. If you must drink staining liquids, use a straw to minimize contact with your teeth when possible.
Exploring Teeth Whitening Options
If you’re already dealing with stained teeth, teeth whitening services in San Ramon, CA, can help restore your smile’s dazzle. From in-office procedures to at-home whitening kits, cosmetic dentist Dr. Carol Jin, DDS, offers solutions tailored to fit your needs. We offer a range of treatments that effectively get rid of stains while ensuring your comfort and safety.
- GLO Science Teeth Whitening: Gentle warming heat and LED light break down stains.
- Professional Teeth Whitening: In-office or take-home kits with professional-grade products.
- Zoom Teeth Whitening: Whitening gel activated by a special light.
Are You A Good Teeth Whitening Candidate?
While teeth whitening is an effective cosmetic procedure, it’s essential to recognize potential limitations and risks. The treatments are not suitable for all, including individuals with poor oral health, gum disease, worn enamel, or cavities. The stains can also return over time, so be proactive with oral hygiene or you may waste your investment.
Discover The First Step To A Radiant & White Smile
A beautiful white smile is within your reach, and we are here to help. Contact our San Ramon dental office today to find out more about the teeth whitening treatments available. Our team is ready to ensure your experience is comfortable and satisfying, giving you the confidence of a bright smile.


